Where Can I Find a Dental Implant Specialist?

There is no such thing as a dental implant specialist in Singapore.
What Dental Providers Will Not Tell You About The Real Cost of Dental Implants in Singapore

Dental implants have many components. Find out how to get a transparent dental implant cost package.
Is It A Scam? Why Does My Dentist Tell Me I Need Bone Graft Before Dental Implants?

You might require bone graft under some circumstances to ensure a strong and long-lasting implant procedure.
Financing Dental Implants: Costs and Medisave Subsidy

Dental implants can be partially financed with Medisave or dental insurance. Find a financing plan for you.
Why Do I Have To Go For 6-Monthly Dental Cleanings (Especially If I Have A Dental Implant)?

6-monthly dental cleanings help protect your teeth, gums and existing dental restorations.
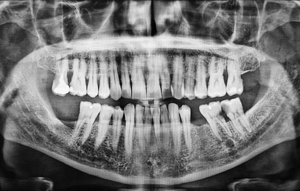
Can I Do Dental Implants Without Taking CBCT Scans or X-rays?

If you are considering dental implants, you may have been told that you need to take CBCT scans or dental X-rays before the procedure. It is not uncommon for patients to wonder: Is this really necessary? Can’t I skip the scans and just go straight to treatment? Is the dentist trying to fleece me? It […]
Am I Meant to Bleed During a Scaling and Polishing Session?

Bleeding during a scaling and polishing session can indicate underlying health or oral health issues.
Affordable Dental Implants: How Safe Are Cheap Implants?

Buyer beware! Find out how to safe dental implants even if they are affordable. Implants are a long-term investment.















